Software Affirm® para biopsia con contraste

Combine las funciones de diagnóstico con contraste y localización precisa de lesiones en un flujo de trabajo perfectamente integrado que aumentará la eficiencia de los procedimientos de biopsia de mama.

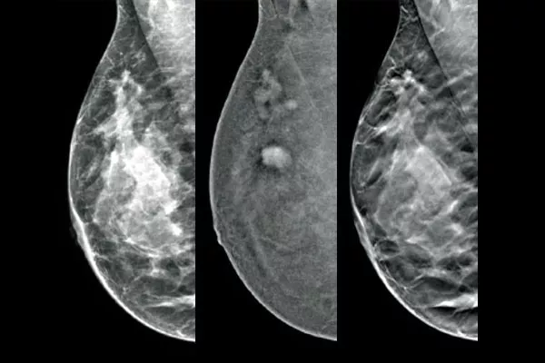
Mamografía 3D con contraste en la pantalla de un ordenador

    Visión general

    Documentos

    Formación

    Un futuro más brillante para la biopsia de mama

    La solución de biopsia con contraste Affirm® permite la localización y adquisición de tejido mamario en lesiones identificadas durante procedimientos de mamografía con contraste (CEM). Diseñada para maximizar la eficiencia del flujo de trabajo y, al mismo tiempo, mejorar la experiencia de la paciente, esta solución integral simplifica los procedimientos de biopsia de mama,* incluso en los casos más complejos.

    Biopsia con contraste

    Localice y realice biopsias en lesiones identificadas mediante mamografía 2D con contraste por medio un procedimiento basado en estereotaxia, con un rendimiento diagnóstico equiparable al procedimiento de RM de mama1,2. Compare las imágenes trás la colocación del marcador en la misma modalidad que el examen diagnóstico inicial con contraste.

    Flujo de trabajo clínico eficaz

    Mejora de la experiencia de diagnóstico, ya que la biopsia se realiza en la misma sala que el diagnóstico por imagen. Debido a las similitudes con la biopsia estereotáctica, la combinación del software de biopsia con contraste Affirm y el sistema de estereotaxia vertical Affirm para biopsia de mama ofrece un flujo de trabajo con el que el usuario ya está familiarizado.

    Mejora de la experiencia de la paciente

    Mejore la experiencia de la paciente, ya que reduce el tiempo de procedimiento y ofrece mayor tolerabilidad y accesibilidad que la RM de mama.2,3 Las pacientes ya están familiarizadas con la misma sala y equipo utilizados en el procedimiento de mamografía diagnóstica.

    Ilustración de la asistencia continuada en la salud de la mama de Hologic con radiología

    Aprovechar la ventaja del tiempo

    La asistencia continuada en la salud de la mama proporciona soluciones integradas que ofrecen fiabilidad clínica, un flujo de trabajo eficaz y una atención respetuosa a la paciente. Una salud mejor para más mujeres, durante más tiempo.

    El software Affirm para biopsia con contraste forma parte de las soluciones para biopsia de Hologic.

    Aumente la fiabilidad diagnóstica

    El software Affirm para biopsia con contraste permite realizar biopsias en lesiones identificadas durante mamografías 2D con contraste I-View™. Gracias a la posibilidad de adquirir imágenes 2D con contraste y de tomosíntesis en una sola compresión,4 el sistema de estereotaxia vertical Affirm para biopsia de mama permite una rápida transición del cribado a la biopsia, de forma que se aproveche la misma cadena de imágenes de eficacia probada5 que se empleó en el sistema de mamografía para mejorar la visualización 3D™ de lesiones sospechosas.***

    Imagen de una paciente en la sala de biopsia de mama

    Visite nuestro hospital virtual

    Explore nuestra gama de productos para salud mamaria en 3D. Descubra cómo aprovechar la ventaja de ganar tiempo para la asistencia continuada en la salud de la mama.

    Descubra nuestra solución integral para biopsia con contraste

    El software Affirm® para biopsia con contraste, en combinación con el sistema de adquisición de imágenes con contraste I-View y el sistema de estereotaxia vertical Affirm para biopsia de mama, aumenta la eficiencia de los procedimientos de biopsia de mama.

    Una alternativa rentable y eficaz a la RM

    Las imágenes funcionales obtenidas mediante CEM son superiores a la RM de mama, al ofrecer una sensibilidad similar, mayor especificidad y mayor valor predictivo positivo.7,8 Además, la CEM supone una alternativa de diagnóstico por imagen9 más rentable que la RM, ya que reduce el tiempo de procedimiento.7,10

    Brazo lateral Affirm para biopsia vertical acoplado a un gantry 3Dimensions

    Datos científicos. Perspectiva. Colaboración.

    Nuestro portal educativo mejora la atención al paciente a través de la excelencia en la educación, la comunicación de evidencia clínica y científica, y las alianzas con la comunidad de atención médica.

    Perspectivas

    Radiólogos revisando una mamografía con tomosíntesis en una pantalla Radiólogos revisando una mamografía con tomosíntesis en una pantalla

    Resultados del estudio ToSyMa, un futuro en 3D para el cribado del cáncer de mama

    Mujeres sentadas delante de un equipo de mamografía, con un profesional sanitario a su lado. Mujeres sentadas delante de un equipo de mamografía, con un profesional sanitario a su lado.

    Los programas de cribado del cáncer de mama y de cérvix, hoy y en el futuro

    Médico y paciente hablando sobre cáncer de mama Médico y paciente hablando sobre cáncer de mama

    Intervenciones no quirúrgicas mínimamente invasivas en cáncer de mama

      * En comparación con los procedimientos de RM. 
        ** En comparación con la biopsia prona estereotáctica asistida por vacío.

      1. Alcantara R, Posso M, Pitarch M, et al, Contrast-enhanced mammography-guided biopsy: technical feasibility and first outcomes. Eur Radiol. Enero de 2023; 33(1):417-428.
      2. Kamal R, Mansour S, Farouk A et al., Contrast-enhanced mammography in comparison with dynamic contrast-enhanced MRI: which modality is appropriate for whom? Egypt J Radiol Nucl Med 52, 216 (2021)
      3. Hobbs MM, Taylor DB, Buzynski S, et al. Contrast-enhanced spectral mammography (CSEM) and contrast enhanced MRI (CEMRI): Patient preferences and tolerance. J Med Imaging Radiat Oncol. 2015;59(3):300-305.
      4. Chou C, Lewin J, Chlang C et al. Clinical Evaluation of Contrast-Enhanced Digital Mammography and Contrast Enhanced Tomosynthesis-Comparison to Contrast-Enhanced Breast MRI. Eur J Radiol. Diciembre de 2015; 84(12):2501-8. [Epub 2015 Oct1].
      5. Schradling S, Distelmaier M, Dirrichs T et al. Digital Breast Tomosynthesis-guided Vacuum-assisted Breast Biopsy: Initial Experiences and Comparison with Prone Stereotactic Vacuum-assisted Biopsy. Radiology. 2015 274:3,654-662.
      6. PLN-10394_001_01 – Affirm Contrast Biopsy Study.pdf.
      7. Li L, Roth R, Germaine P, et al. Contrast-enhanced spectral mammography (CESM) versus breast magnetic resonance imaging (MRI): A retrospective comparison in 66 breast lesions. Diagn Interv Imaging. 2017;98(2):113-123
      8. Xing D, Lv Y, Sun B, et al. Diagnostic value of contrast-enhanced spectral mammography in comparison to magnetic resonance imaging in breast lesions. J Comput Assist Tomogr. 2019;43(2):245–251
      9. Patel B, Gray R, Pockaj B, et al. Potential Cost Savings of Contrast-Enhanced Digital Mammography. AJR Am J Roentgenol. 2017;208(6):W231-W237.
      10. Coffey K, Jochelson MS. Contrast-enhanced mammography in breast cancer screening. Eur J Radiol. 2022;156:110513.

      2797
      0482

      Hologic BV, Da Vincilaan 5, 1930 Zaventem, Belgium.

      Número del organismo notificado cuando proceda